When cancer cells move from their original location to the brain, this is called a brain metastasis. Any cancer can travel to the brain, but lung, breast, colon, kidney, and melanoma are the most likely to produce brain metastases. Brain metastases can result in a single tumour or many malignancies in the brain.
What is a Metastatic Brain Cancer?
A kind of cancer that begins in another organ and progresses to the brain.
Metastatic tumors are the most prevalent kind of brain cancer today, almost ten times more common than malignancies that begin within the brain (such as gliomas or meningiomas). Because cancer therapy has progressed significantly, the incidence of brain metastases is growing; instead of living just months following a cancer diagnosis, many individuals live with the condition for years, or their malignancies go into remission. Every year, an estimated 200,000 new instances of brain metastases are identified in the United States.
What causes it?
The most common causes of brain metastases are lung,
breast, and prostate cancers other cancers, such as melanoma, and other tumours
in the lymphatic system, including many types of cancers of the thyroid,
cervix, uterus, liver, and pancreas, can also create brain metastases.
Brain metastases are more common in men than women,
and tend to appear between the ages of 30 and 65.
About 75% of cases develop in people over the age of
60.
Brain metastases can result in the formation of a
single tumour or multiple tumours in the brain. As the metastatic brain tumours
grow in size, they exert pressure on and alter the function of the surrounding
brain tissue, causing it to malfunction.
This results in signs and symptoms such as a headache,
personality changes, memory loss, and seizures, among others.
How does Metastatic Brain Cancer spread?
All brain metastases are different, but scientists
have discovered that a number of factors influence a tumour’s chances of
migrating to the brain.
A tumour that grows fast has an increased chance of
appearing in the brain. It is also a common factor for brain metastases to take
a new life of its own and spread throughout the body. Brain metastases also
have a tendency to grow outside of the blood vessels that transport the tumour
cells this is known as an invasion site.
If a tumour forms within a brain cell, it could be
treated by a surgeon directly removing the tumour cells.
Depending on the nature of the tumour, removal of the
entire cell or cutting out just the cancer cells would mean the cells will die.
Symptoms of Brain Metastases
Symptoms include:
· Change in vision
· Reduced
activity
· Slurred
speech
· Difficulty
walking
· Hearing
· Speaking
· Seizures
· Constipation
· Blurred
vision
· Urinary
incontinence
· Diarrhea
· Difficulty
urinating.
Diagnosis
The diagnosis of brain metastasis typically occurs by
finding a primary tumour in the brain (incurable primary brain cancer).
Brain metastases can be found in the meninges, the surface of the brain, or in areas adjacent to the brain.
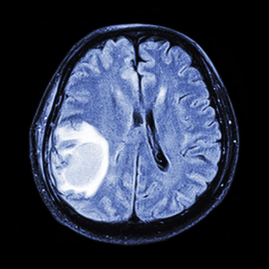
There are numerous distinct images of the brain that may be obtained with or without intravenous contrast using Computed Axial Tomography (CAT scan/CT).
CT scans are often the first diagnostic test used in
a patient's care.
Powerful magnets and radio waves are used in Magnetic Resonance Imaging (MRI) to provide a clear image of the brain. These tests are the best standard for determining a tumour's location, size, features and pressure effects when combined with intravenous contrast agents.
An oncologist or neurosurgeon may request further
tests when a metastatic tumour is suspected. In certain cases, a CT with
contrast of the chest, abdomen, and pelvis, as well as a bone scan may be
required.
A primary neoplasm elsewhere in the body may be
detected using these testing. However, these are the most common kind of tests
that should be performed.
Treatment
Unfortunately, the prognosis for brain metastases is
poor. People with brain metastases tend to live only two to five months.
According to the National Cancer Institute, brain
metastases are difficult to treat. Treatments that work for lung and breast cancer
may be ineffective for brain metastases.
The treatment of relapsing brain metastases may
benefit from focused radiation therapy, whereas tiny or asymptomatic brain
metastases may benefit from chemotherapy.
Radiation therapy is effective for lung and breast
cancer, but not for brain metastases. Chemotherapy or hormonal therapy might be
effective, but not suitable for brain metastases.
Treatment of brain metastases usually involves surgery
to remove as much of the tumour as possible and hormonal treatment to suppress
the tumour’s growth. After surgery, brain cancer patients can usually go home
after about a week to recuperate from the operation.
Metastatic Brain Cancer Survival Rate?
Metastatic Brain Cancer has a poor prognosis and has a
median survival of only 10 months. The disease accounts for about 4 percent of
all cancers in the brain, with about 12 percent in men and 8 percent in women.
However, the survival rate varies between 0 and 70
percent.
What Are The Different Types Of Metastatic Brain Cancer?
The primary tumour usually starts in the liver or
lungs. Secondary brain tumours are often benign, but may also be primary brain
tumours or tumours that spread from primary tumours.
The most common brain tumours are malignant glioma
(glioblastoma, the most common) and anaplastic astrocytoma. Glioblastoma
accounts for 60 to 70 percent of all gliomas in adults and is the most
aggressive.
Colon Cancer Metastasis to Brain
Metastasis to the brain is a very rare event and is
only known to occur in three states of the human body: The brain is the only
organ in the body that is located completely separate from the rest of the
organ. The brain is in close contact with the stomach, and it can spread to the
stomach through an arteriovenous malformation, in which there are abnormal
blood vessels.
The tumour may bleed into the stomach cavity or
rupture the tumour through a softball sized lump in the brain. A large gastric
tumour in the brain can travel to the lungs and the liver, before eventually
forming a brain metastasis.
Brain metastases have been seen in people whose
cancers spread to other parts of the body, through the bloodstream.
How long can you live with untreated brain metastases?
Right now, research indicates that up to 25% of
patients with incurable metastatic brain cancer live for another 5 years but
only 10-15% of patients will live longer than 5 years, and only 15% of patients
will survive for more than 10 years.
The first challenge is to identify these patients it
can be difficult to distinguish a tumour with a brain metastasis from a tumour
that occurs in other parts of the body.
Brain metastases can produce bone metastases, which is
a sign that the cancer has spread to the bones and there is less time for
effective therapy.
When the cancer has not yet been identified in the
brain or other organ, a PET scan is commonly used to see whether the cancer is
metastatic and whether the metastases have already caused metastases elsewhere
in the body.
What Happens When Cancer Spreads to the Brain?
A brain metastasis is a tumour that has grown and
invaded into the brain’s white matter. This is the densely packed structure of
brain cells, which support brain activity, transmit information, and help
control involuntary body functions.
One metastatic brain tumour can produce many thousands
of new tumours in the brain when brain tumours form in the brain, they most
commonly spread through the cerebrospinal fluid, a clear liquid that surrounds
the brain and spinal cord.
Other common routes of metastasis are the lymphatic
system and lymph nodes.
When cancer spreads to the brain what is life expectancy?
What is Metastatic Brain Cancer Stage 4
In stage 4, a tumour develops and spreads rapidly;
malignant cells do not resemble healthy ones. There is a higher incidence of
secondary brain tumours, which have spread to the brain from another part of
the body.
In stage 4, the cancer spreads to another body part
(highest stage is 4).
What is the longest someone has lived with brain cancer?
Ossama Suleiman, 9 years glioblastoma brain cancer
survivor.
Is metastatic brain cancer a terminal?
The diagnosis of one or more metastatic cancers was
seen as a terminal event, with treatment of the malignancies restricted to
palliative whole brain radiation as the only option available.
Can metastatic brain cancer be cured?
Individuals suffering from metastatic brain cancer may
be very difficult to treat. When a single brain metastasis is treated well, the
chances of long-term survival are higher than when a number of brain metastases
are treated effectively.
Is there pain with brain cancer?
A tumour in the brain may place strain on neurons and
blood vessels that are sensitive to pressure. The following symptoms may occur
as a consequence of this: new headaches or a change in your previous pattern of
headaches: You're experiencing continuous discomfort, but it's not as severe as
a migraine. When you first wake up in the morning, it aches more than usual.
Conclusion
When cancer cells move from their original location to the brain, this is called a brain metastasis. Lung, breast, colon, kidney, and melanoma are the most likely to produce brain metastases.
Brain metastases can result in a single tumour or many malignancies in the brain.
These are more common in men than women, and tend to appear between the ages of 30 and 65.
Symptoms
include a headache, personality changes, memory loss, and seizures, among
others.



Comments
Post a Comment